据英国《每日邮报》1月14日报道,近日,在英格兰布莱顿市的一处公寓里,32岁的亚当•詹德泽克(Adam Jendrzeczak)和22岁的妻子亚历山德拉•科宾斯卡(Aleksandra Kopinska)残忍地对4个月大的婴儿进行虐待,造成其全身28处骨折。法官克里斯汀•汉森(Christine Henson)严厉谴责这对夫妇“对一个小婴儿的虐待残忍至极”,并给予两人8年监禁的严判。

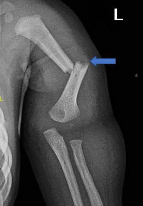
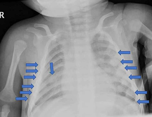
据报道,这起虐童事件于2017年2月曝光,当时这名男婴因手臂骨折被送往医院。这对夫妇向皇家萨塞克斯郡医院的医生谎报了男孩的痛苦以及他受重伤的原因,声称孩子被地毯凸起的一角绊倒了。后来医院发现男孩的伤势十分严重,肋骨骨折20处,膝盖、脚踝和都有骨折。儿科医学专家获取的证据显示,这些伤害是由强力所致,男孩骨折处是由于故意扭转、挤压造成的。医院确认骨折是在孩子被送到医院之前的四到六周之间造成的。

警方在逮捕这对夫妇之后发现,詹德泽克曾在2011年因对自己的母亲实施家庭暴力而被定罪。他与妻子科宾斯卡被诊断为“控制欲强”且容易“极度愤怒”。起初,詹德泽克拒绝法院给他的律师,坚持认为判决应该等自己的律师从波兰赶来。但此举遭到了法官的拒绝,法庭指定的律师布莱恩•肖(Brian Shaw)本应代表詹德泽克出庭,但肖解释称,詹德泽克在听证会前拒绝与他交谈。

这位被判有罪的施虐者随后辩称,如果没有自己的律师,他会受到“歧视”。汉森法官说道:“詹德泽克没有表现出任何的懊悔,那些不得不与他打交道的人,包括邻居和卫生专业人士,发现他的行为咄咄逼人,充满敌意。在“完全不顾”孩子的伤势下,他竟然还认为自己是受害者。”

关于他的妻子科宾斯卡,马克•凯斯勒律师为其辩护说,专家们发现她在健康专家看来是“有爱心的”,但她表现得“懦弱”,似乎处于“被动和克制”中。在专业人士询问她是否是家庭暴力的受害者时,她也没有回答,而且她仍然不愿意承认自己知情不报、忽视纵容的行为给孩子造成的伤害。

警方后来透露,这名儿童不会遭受长期的身体问题。但该夫妇对其造成的伤害真是骇人听闻,对一个小小的婴儿实施如此恶毒的行为,简直令人难以置信。目前,这两人都因殴打或忽视一名儿童并造成不必要的痛苦,以及造成或允许一名儿童遭受严重身体伤害而被判8年监禁。而詹德泽克则被延长了刑期,必须服完三分之二的刑期才能考虑假释。